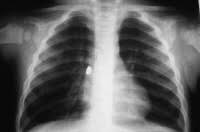
Ağlasığmaz hadisə: uşağın ağciyərindən görün nə çıxarıldı - VİDEO

Ağlasığmaz hadisə: uşağın ağciyərindən görün nə çıxarıldı - VİDEO
Kateqoriya məlum deyil07.04.25, 18:053747 👁️
T
PAYLAŞ